At CrimsonCare Family Dental, we offer a variety of options for professional teeth whitening.
Custom Take-Home Whitening Trays
Applying professional strength gel using customized trays enables you to whiten your teeth gradually in the comfort of your own home. Whitening gels vary in strength, so be sure to follow the directions given to you by Dr. Thomas Pink. In as little as 20 minutes a day for one week, you will see results. This process can erase most stains from coffee drinking and tobacco, as well as tooth yellowing associated with aging, producing a brilliant, bright white smile.
Zoom! In-Office Whitening
We also offer Zoom! in-office whitening treatment that provides a faster result. With its advanced LED light technology, Zoom! technology can deliver dramatic results in just one appoitment.
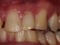
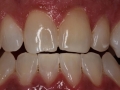
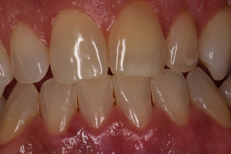
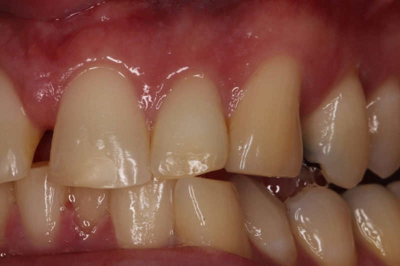
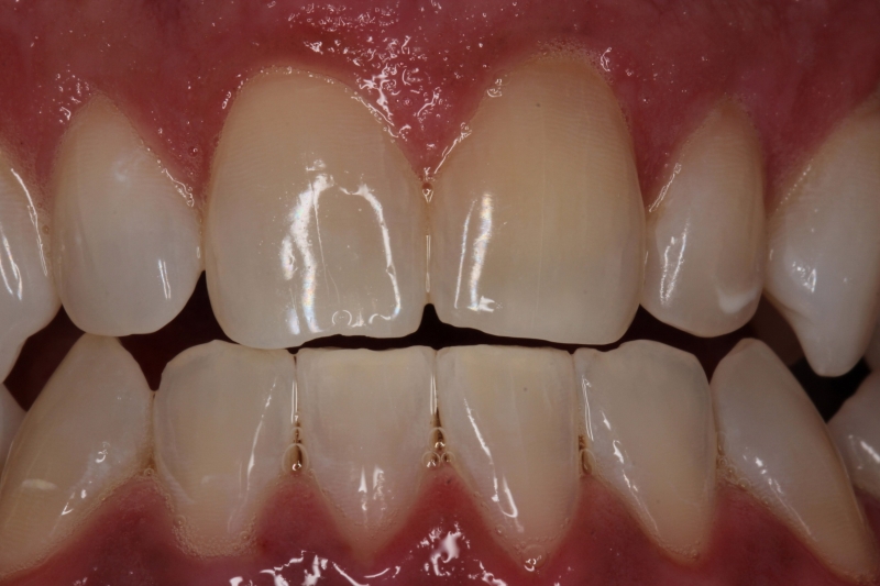
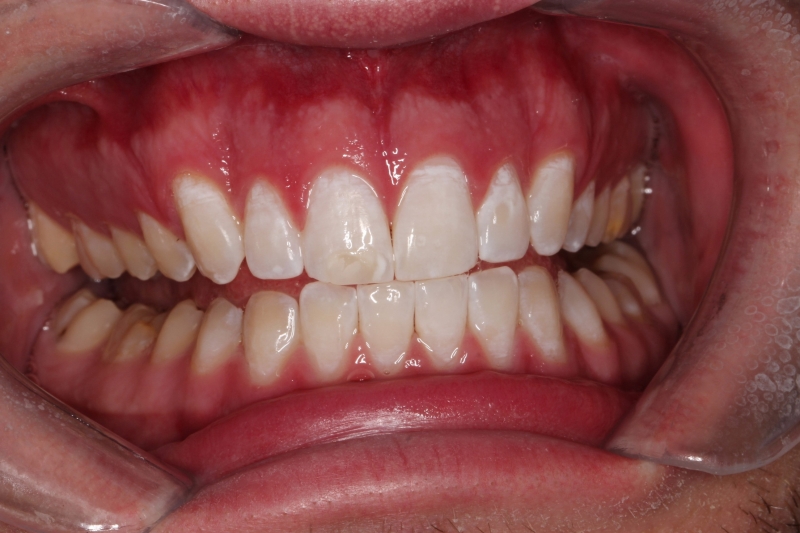
Whitening Results
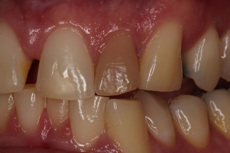
Alternatives To Whitening
Teeth whitening may not be an appropriate treatment for all stains. Porcelain veneers or crowns may a better option for hard-to-treat stains.
Which Tooth Whitening Option Is Right For You?
If you would like to learn more about your whitening options, schedule a consultation to speak with Dr. Thomas Pink. Click here to request an appointment or call (763) 416-2006. One of our friendly team members will happily help you!