At CrimsonCare Family Dental, we use Invisalign clear braces to provide a straightening solution that is an alternative to traditional braces. Using a series of clear, removable aligners, Invisalign allows you to enjoy a beautiful smile while enhancing your oral health.
http://youtu.be/-Lixxr-IFxI
Benefits of Invisalign Invisible Braces
Comfortable
Invisalign invisible braces are carefully designed with smooth edges to ensure that your gums and cheeks will not get snagged or irritated by metal wires and brackets.
Adaptable
Unlike traditional braces, the Invisalign clear braces may be removed to allow for eating, drinking, flossing, brushing, or even an occasional special event.
Time Efficient
While most traditional braces take 18-24 months, Invisalign invisible braces generally take less than a year, although this may vary depending on your specific needs. Without wires to tighten and adjustments to make, you will not have to spend as much time for office visits either.
Customized For You
After taking digital images of your teeth, Dr. Thomas Pink will custom design Invisalign aligners for your mouth with a personalized step-by-step movement plan tailored to your situation.
Practically Invisible
No need to worry about hiding your smile while wearing clear braces. Invisalign allows your natural teeth to show through the transparent aligners, making it difficult for others to detect that you are wearing them.
Predictable
You can feel secure choosing Invisalign clear braces because you will see the projected results even before starting the alignment process. After taking impressions of your teeth, we use the latest technology to create a digital image of each stage of the straightening process so you can see your new smile before treatments begin.
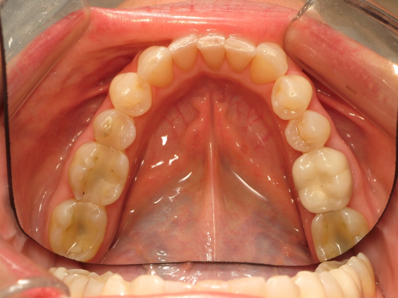
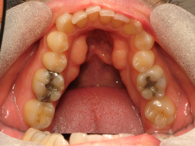
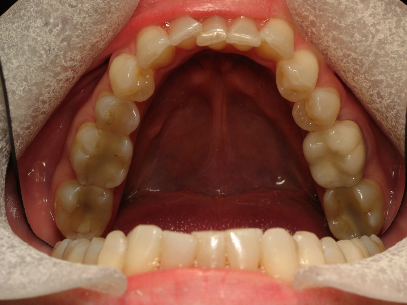
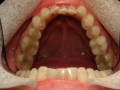
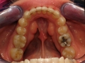
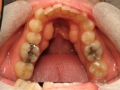
Invisalign Results
Is Invisalign Right For You?
If you would like to learn more about Invisalign and if it is right for you, schedule a consultation to speak with Dr. Thomas Pink. Click here to request an appointment or contact our office. One of our friendly team members will happily help you!