Cosmetic Solutions with Dental Crowns
A dental crown is a custom-made artificial tooth cap that completely covers a chipped, cracked or damaged tooth. The tooth-shaped “cap” is placed over the damaged tooth to restore its strength, shape and size. It improve its appearance by fully encasing the entire visible portion of a tooth above the gum line. Crowns can be made from a number of different materials to match the shade and color of your tooth.
Dental crowns can be used in connection with a variety of procedures in cosmetic dentistry:
- Dental Implants: Dental crowns are used to cap the metal rod implant in place of a missing tooth.
- Dental Bridges: Dental crowns on the teeth adjacent to the bridge serve as anchors for the bridge to clamp onto for support.
- Root Canal Therapy: Dental crowns protect brittle teeth after root canal therapy.
Advantages of Dental Crowns
Supports the Tooth
Dental veneers only repair the front surface of a tooth, dental crowns completely cover the damaged tooth, restoring functionality, shape, size, and strength of the tooth.
Lasts Several Years
Dental crowns can last up to ten years when good oral hygiene is practiced. They are designed to last several yearsdepending on the type of crown and oral health of the patient.
Preserves The Tooth
Dental crowns seal the damaged teeth off from bacteria in the saliva that can cause teeth to deteriorate. They can also hold together cracked teeth, preserving their functionality.
Looks Natural
Custom dental crowns can be molded to closely match the look and shape of your other teeth.
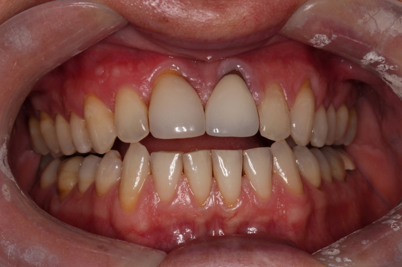
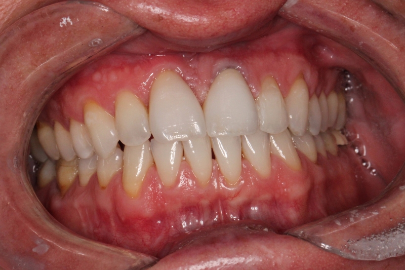
Dental Crown Results
Contact CrimsonCare Dental
The friendly and professional CrimsonCare Dental team is here to help with all you dental needs including dental crowns. Request your appointment online or contact CrimsonCare Family Dental directly.