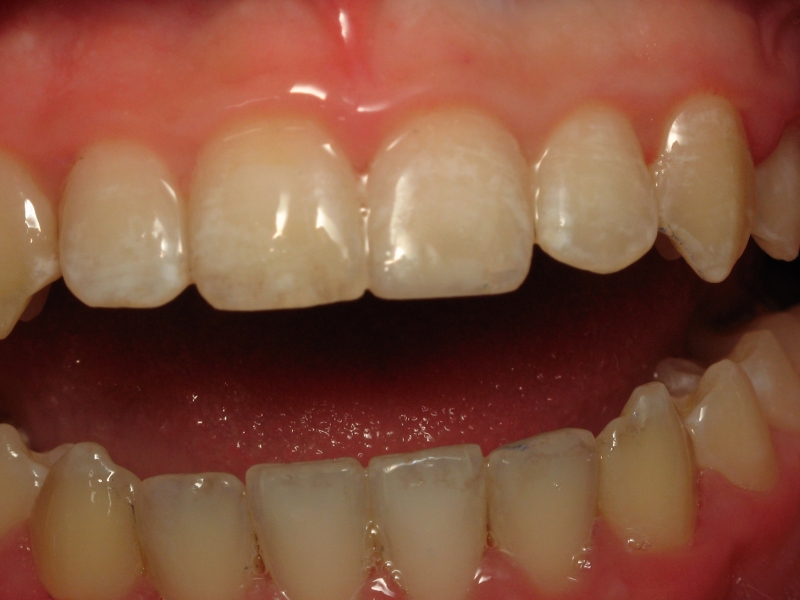
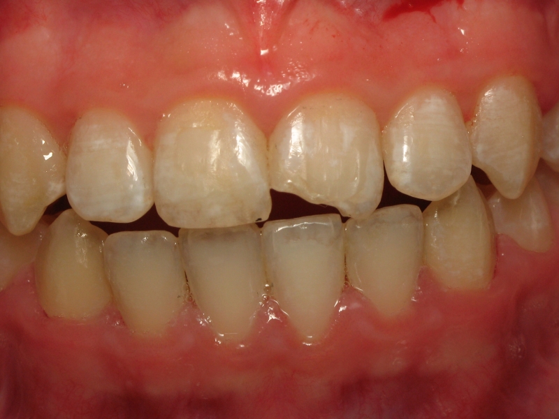
Cosmetic bonding is becoming more popular and effective than ever before! It’s a natural looking solution to a natural, more radiant smile. Tooth bonding is the process of applying a tooth-colored resin material to the tooth using adhesives and a high intensity curing light. Bonding is commonly used as a cosmetic alternative to amalgam fillings, or to protect a tooth’s root that became exposed due to gums receding.
Bonding is Typically Used for:
- Improve the appearance of a discolored or chipped tooth
- Close spaces between teeth
- Make teeth appear longer
- Change the shape or color of teeth
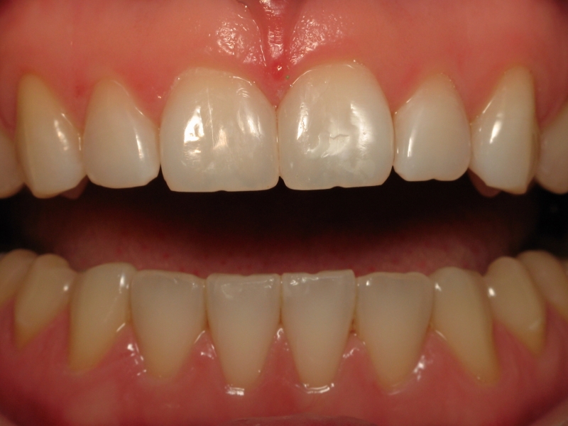
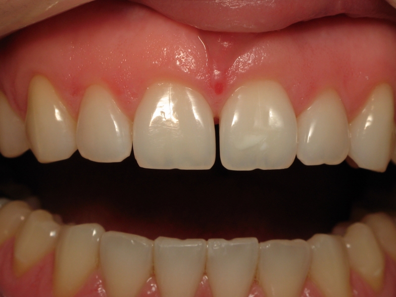
Bonding Results
Is Tooth Bonding Right For You?
To find out if tooth bonding is the right for you, schedule a free consultation with CrimsonCare Dental. We offer fast results, bonding normally takes only one visit.Request your appointment online or contact CrimsonCare Family Dental directly.